달의 영혼
내겐 가장 소중한 그녀
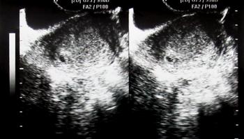
  1. 임신 12주 차 - 2.88cm

  2. 임신 11주 차 - (메디포스트) 제대혈 보관으로 미래를 대비하다.

  3. 임신 8주 차 - 영양제가 도착했다.

  4. 임신 7주 차 - 하혈을 보았다.

  5. 임신 7주 차 - 현대해상 무배당굿앤굿어린이CI보험(Hi1204)2종

  6. 임신 6주 차 - 오랜만에 만난 네 엄마...

  7. 임신 6주 차 - 연말이 예정일

  8. 임신 4주 차 - 오랜 연인에서 아빠와 엄마로….

Board Pagination Prev 1 2 Next
/ 2