치과가지 두렵지? 요즘 치과는 아프지 않아요?

2026.04.05

결혼 전… 앞니가 까맣게 착색된 시기가 있었는데, 덕분에 처음으로 스케일링을 받았었다. 당시 나이 지긋한 치과의사도 이것이 제거될지 의문스러워 했던 것 같다. 스케일링하면서 그 부분을 갈아내며 의사가 고개를 끄덕이며 만족스러워 하는 것을 느꼈다. 그렇게 스케일링 첫 경험은 아프지만, 참을만하고 주기적으로 받을만하다는 교훈을 주었다.

 

작년에는 생긴 지 얼마 되지 않은 규모가 큰 치과에 갔었는데, 주먹을 꼭 쥐고 눈물을 흘릴 만큼 아팠다. 스케일링 후 의사가 엑스레이를 보며 상담을 해주는데, 오래전 아말감으로 때웠던 부분이 떨어진 곳도 있고 보기도 안 좋으니 레진으로 새로 하자고 한다. 거기까진 괜찮았지만, 잇몸 속에도 치석이 끼어 있다며 기계를 치아와 잇몸 사이로 깊이 넣어 긁어내야 한다고 했다. 나는 그 이후로 그 치과의사는 신뢰하기 어렵다며 치과 가기를 거부했다. ㅜ.ㅜ

 

그날 이후 아내는 치과 치료 안 받으며 나중에 큰돈 든다며 생각날 때마다 잔소리했다. 하지만, 너무너무 겁이 나니 못 들은 척할 수밖에……ㅋㅋ

 

아내의 친한 친구 중 치과의사가 있는데, 얼마 전 그 친구의 동기가 우리 동네에서 치과를 열었다며 가보자고 했다. 다른 치과에서 검사를 받으면 혹시나 결과가 다르지 않을까 싶어서 그동안의 잔소리도 있고 해서 어쩔 수 없이 스케일링을 받으러 갔다.

 

여전히 아팠지만, 받은 지 1년밖에 되지 않아 그런지 예전보다는 참을만했다. 스케일링 후 아내 친구의 동기라는 원장과 상담을 하는데, 이전 치과에서와같이 아말감을 긁어내고 새로 하자고 한다. 그리고 사랑니 때문에 잇몸이 아플 때가 있을 것이고 위쪽에 있는 놈은 관리가 안 되어서 썩고 있으니 사랑니도 3개를 뽑자고 했다. 에잇! 저기 피해서 왔더니 일이 더 커진 것 같다.

 

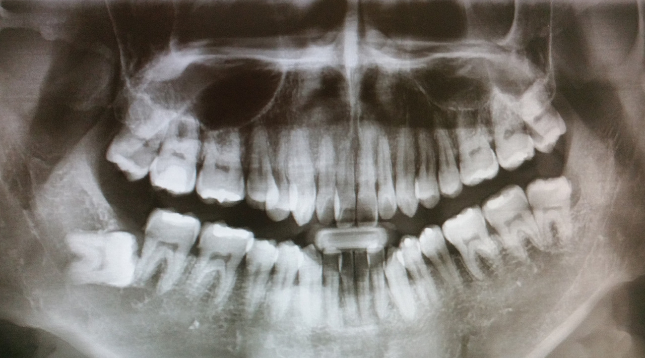
dr17071001.jpg좌측 위아래, 우측 위 사랑니를 뽑았다. 우측 아래 사랑니는 뽑기도 어렵고 잇몸 속에 있어서 불편함이 없으면 그냥두고 정기 검진을 통해 지켜보자고 한다.

 

믿을만한 사람에게서 얘기를 들으니 마음이 흔들렸다. 사실 사랑니 때문에 잇몸이 종종 붓고, 음식 먹을 때 볼을 씹기도 해서 고민일 때가 있었다. 그래도 잇몸 속 치석 얘기를 하지 않으니 한편으론 다행이다. 싶었다.

 

일단 치과에 온 김에 한쪽의 아말감을 긁어내고 레진으로 바꾸는 치료를 받았다. 눈을 꼭 감고 입을 벌리고 두려움에 떨고 있는데, 윙~ 윙~ 하더니 금세 끝났단다. 이것은 새로운 세상이었다. 예상과 달리 통증의 하나도 없었다. 그리고 이어지는 의사의 설명은 또 어찌나 친절한 건지….

 

아프지 않게 치료를 받고 나니 이 의사에게 무한 신뢰감이 생겼다. 사랑니 뽑을 용기도 생겼다. 이후로 다시 치과를 방문해서 총 10개의 치아에 레진을 새로 입혔다. 까맣게 보기 싫었던 아말감의 흔적이 사라지고 치아와 같은 색상으로 매워진 입안을 보니 진작에 받지 않았던 것이 아쉬웠다.

 

치과를 방문할수록 신뢰는 깊어졌고 드디어 사랑니를 뽑는 날이다. 총 4개의 사랑니 중 우측 아래는 완전히 옆으로 누워있었는데, 잇몸 속에 있고 특별한 증상이 없으니 그냥 두자고 했다. 다행이다. 엑스레이만 봐도 이건 보통 일이 아니라는 것을 알 수 있다. 좌측 위아래를 뽑고 일주일 후 우측 위를 뽑기로 했다. 

 

좌측 위아래를 뽑기 전 마취를 해야 하는데, 마취 주사도 아플 수 있으니 마취 주사 전에 마취 연고를 바른다. 덕분에 마취 주사를 맞고 있는지조차 잘 모를 만큼 통증이 없다. 마취 주사를 맞고 10분 정도 지나니 누구한테 맞은 것처럼 얼얼해졌다. 이건 아픈 느낌이 아니니 걱정하지 않아도 된다. 

 

마취가되었음을 확인하고 "좀 뻐끈할 겁니다."라는 의사의 말과 함께 5초 후 하나를 뽑았다고 한다. 이거야 원… 마법이 따로 없다. 아래쪽 사랑니는 뽑고 나면 구멍이 커서 꿰맨다고 했는데, 이것 역시 통증을 느낄 새도 없이 뽑았다고 한다. 꿰매는 것 역시 전혀 통증이 없다.

 

주변 사람들에게 물으니 마취 풀리면 통증1이 밀려온다고 하던데, 잘 뽑아서 그런지 나는 전혀 아픈 것이 없었다. 시차를 두고 총 3개의 사랑니를 뽑았지만, 3일분 지어주는 진통제를 안 먹어도 되지 않을까 싶을 정도로 아프거나 불편함이 없었다.

 

다섯 번에 걸쳐 치과를 방문하며, 스케일링과 아말감 제거 후 레진, 사랑니 3개 발치의 치료를 받았지만, 치과 가는 것이 즐거울 마음이 가벼웠다. 친절함은 둘째치고 내가 그동안 치과를 멀리했던 '아픔'에 대한 두려움이 사라졌기 때문이다. 거기에 엄청난 지인 할인까지…. 

 

이 치과! 너무 마음에 들어 널리 널리 알리고 싶다. 이젠 치과에 정기 검진까지도 갈 용기가 생겼다.

 

시내의 여느 치과처럼 광고로 도배하거나 최첨단 장비로 교정해주고 양악수술하고 하는 화려한 치과는 아니다.

치과 자체를 거부했던 나에게 감기 걸려 약 타러 병원 가듯이 가벼운 마음으로 찾을 수 있는 마음 편한 치과라고 하고 싶다.

 

부산 동래역 1번 출구 건너편에 있는 굿모닝 치과를 강력히 추천하는 바이다.

 

홈페이지 http://www.goodmorningdental.kr

블로그 http://blog.naver.com/good5552804

페이스북 https://www.facebook.com/goodmorning5552804

 

dr17071002.jpg


  1. 열세 번의 설사와 대장 내시경

    휴대전화를 뒤적거리다 2019년 11월 29일에 적어 놓은 메모를 발견했다. 내시경 하루 전 저녁부터 장을 비우는 약을 2리터 먹어야 하는데... 그 과정에 대한 기록이다. 총 2L를 500ml씩 네 번에 나눠서 먹...
    2026.04.05 0 2
    Read More
  2. 얼굴 점 제거 한 달 후기

    얼굴에 점을 뺀 지 한 달이 되었다. 코로나 19로 일도 못 하고 매일 놀고 있지만, 스트레스를 많이 받아서 그런지 시간은 빠르게 지나왔다. 점도 빼고, 하안검 수술도 받고... 얼굴이 좀 활짝 펴야 하는데 ...
    2026.04.05 0 2
    Read More
  3. 얼굴 점 제거

    코로나 19로 강제 휴가(?) 중이고 앞으로도 2주가 넘게 쉬어야 하므로 점도 빼고, 눈 밑 지방 제거 수술도 하고.. 회복 시간이 필요해서 생각만 하고 막상 하지는 못했던 외모 가꾸기에 한창이다. 얼마 전 ...
    2026.04.05 0 1
    Read More
  4. 치과가지 두렵지? 요즘 치과는 아프지 않아요?

    결혼 전… 앞니가 까맣게 착색된 시기가 있었는데, 덕분에 처음으로 스케일링을 받았었다. 당시 나이 지긋한 치과의사도 이것이 제거될지 의문스러워 했던 것 같다. 스케일링하면서 그 부분을 갈아내며 의사...
    2026.04.05 0 0
    Read More
  5. 똥꼬 깊수키 - 치질(외치핵) 수술 일지

    2014년 9월 13일 1차 수술 (2박 3일 입원) 2014년 9월 25일 2차 수술 (당일 저녁 퇴원) 외치핵 진단을 받다. 몇 년 전부터 치질임을 알았다. 변을 보고 나면 항문이 밀려나와 케겔운동처럼 항문을 오므리며...
    2026.04.05 2 0
    Read More
  6. 보험사와 합의! 결론은 의료 과실!

    병원 측 보험사로 부터 보상을 받은 후 변호사 사무실 사무장이 얘기했던 대로 엄마 보험사에도 질병 사망 보상금이 아닌 상해 사망 보상금을 신청했다. 상해사망에 대한 보상이 두 배 이상 크기 때문이다....
    2026.04.05 게실염 8 0
    Read More
  7. 병원 측과 합의하여 억울함은 좀 가셨다.

    이별 136일 차 엄마의 병원에서 오늘내일하는 상황이 되자. 주변 어른들이 병원을 옮기라는 둥, 의료 사고 아니냐는 둥…. 도와주지는 않을 거면서 말들이 참 많았다. 누나와 나는 우리의 선택대로 모든 것...
    2026.04.05 게실염 5 1
    Read More
  8. 엄마는 좋은 옷이 없었다.

    퇴근 후 배불리 먹고 내방 벽에 걸려있는 엄마 사진을 봤다. 내 결혼식 때 찍었던 사진이라 한복을 입고 있다. 엄마 옷 중에는 좋은 게 없었다. 한 번은 비싼 옷 사주고 싶어 백화점에 같이 갔는데, 끝끝내...
    2026.04.05 게실염 0 0
    Read More
  9. 그립다.

    이별 20일 차 그러고 보니 엄마는 입원해서 숨을 거둘 때까지 두려워했는데, 눈물은 한 번도 보인 적이 없다. 죽게 될지 몰랐기에 그랬을 테지? 유언 한 마디도 남기지 않은 것은 그리될지 본인도 몰랐던 ...
    2026.04.05 게실염 0 0
    Read More
  10. 시간이 흘러도 그 과정은 참 원망스럽다.

    이별 16일 차 운전하고 가다 엄마가 병원에 있을 때 문병 왔던 아줌마를 봤다. 그리고 곧바로 그때 당시의 영상이 재생되었다. 엄마는 일반병실에서 지루한 나날을 보내고 있다. 우리 딸 어린이집에 보내 ...
    2026.04.05 게실염 0 0
    Read More
Board Pagination Prev 1 2 3 4 5 Next
/ 5